Smile Gallery
Here is a selection of some of our most recent smile transformations. Results may vary between individuals.
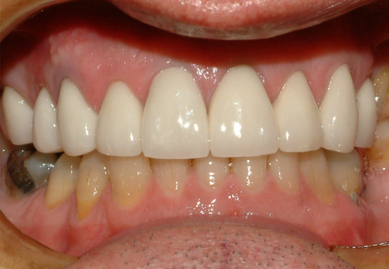
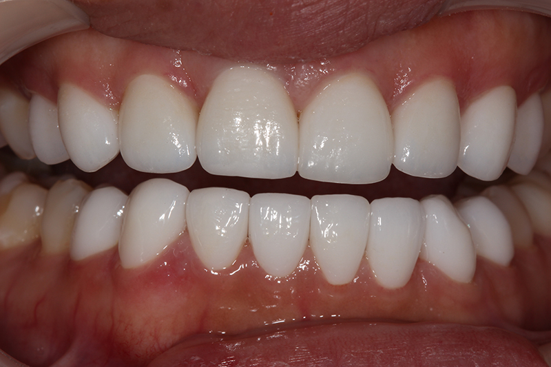
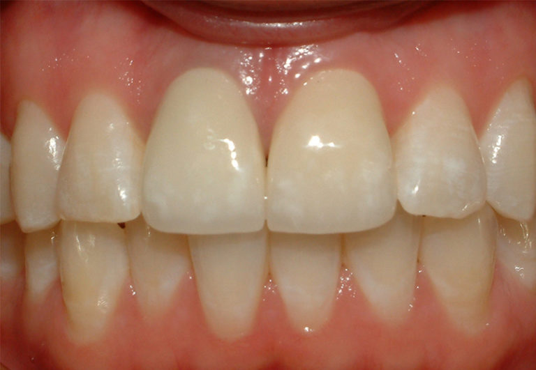
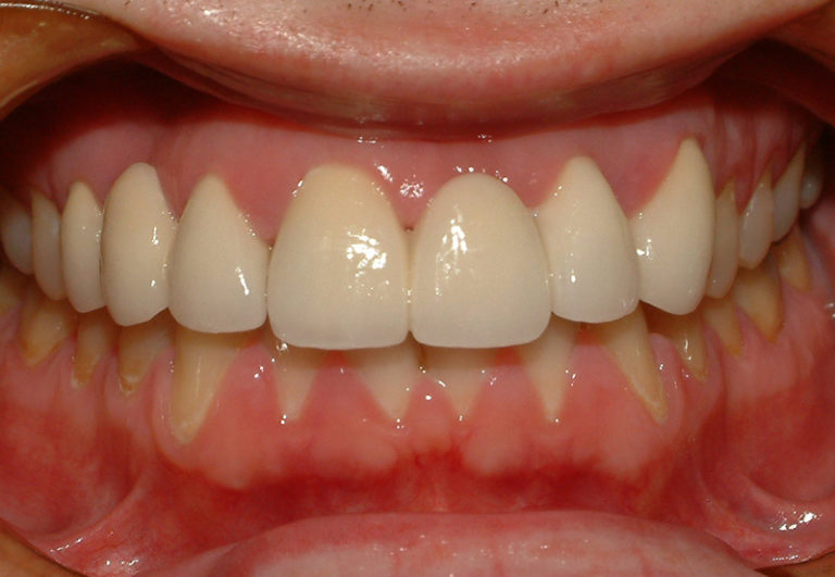
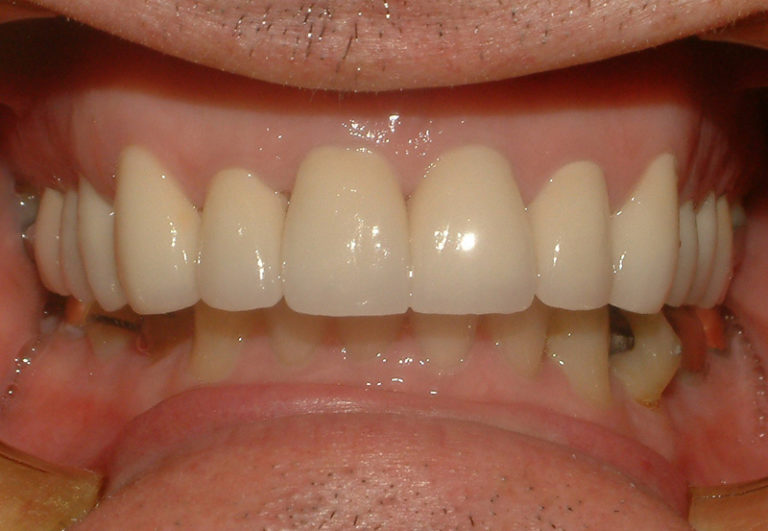
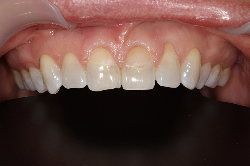
Case 1
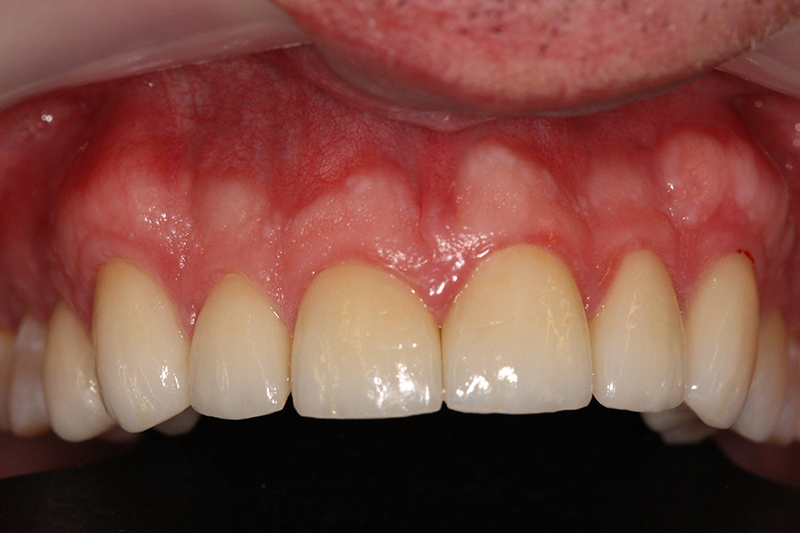
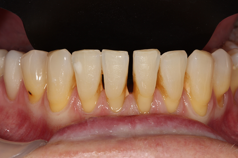
Before/After
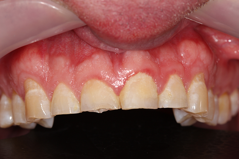
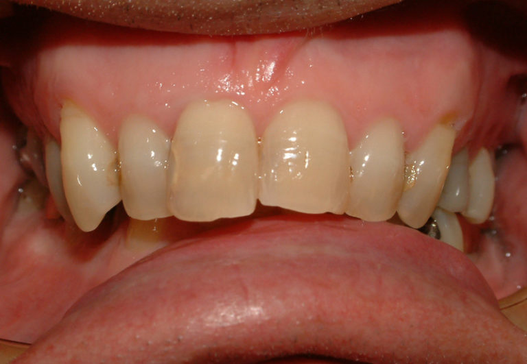
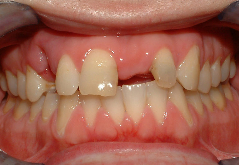
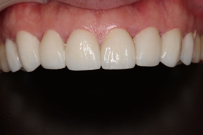
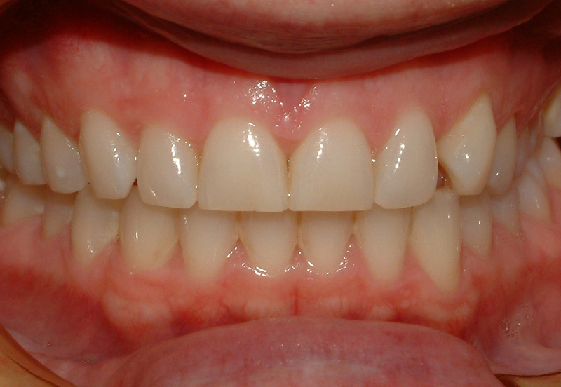
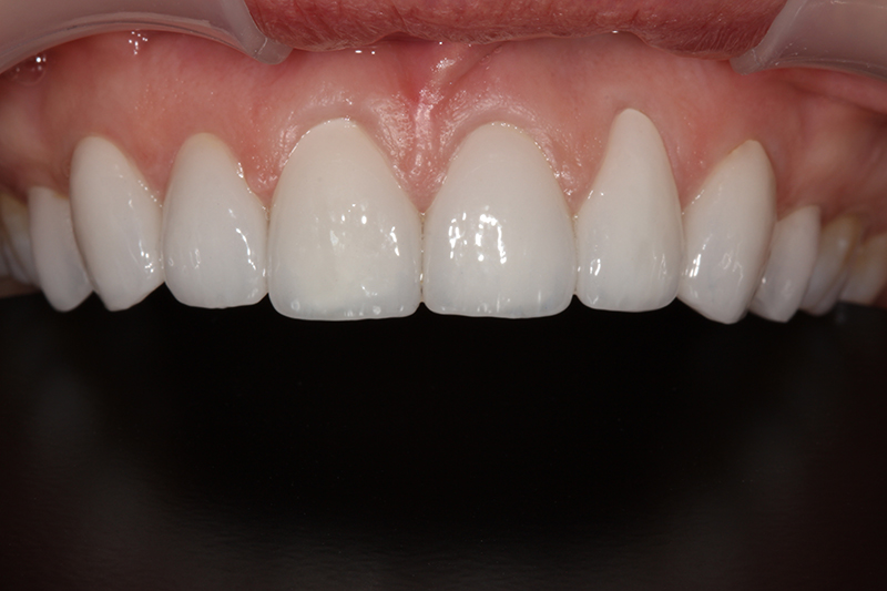
Case 2
Before/After
Case 3
Before/After
Case 4
Before/After
Case 5
Before/After
Case 6
Before/After
Case 7
Before/After
Case 8
Before/After
Case 9
Before/After
Case 10
Before/After
Case 11
Before/After
Case 12
Before/After
